Ceník služeb a aktuality

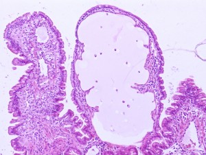
lymphangiectasia, jejunum, dog.

AKTUÁLNĚ:

Provoz laboratoře během Vánočních svátků - omezen bude provoz externích laboratoří - poslední dodávku hotových preparátů obdržíme 23.12. (vyhotovené preparáty ze vzorků doručených do pátku 19.12), další svoz bude až po novém roce - 2.1. (odvoz vzorků s doručením hotových preparátů za 2-3 pracovní dny). Příjem vozků bude zajištěn ve všechny pracovní dny (po předchozí domluvě zajistíme převzetí vzorků i během dní volna). Cytologická vyšetření budou probíhat standardně s výsledky do druhého dne od doručení. V pracovní dny by měl být k dispozici také režim STATIM pro histologická vyšetření - s výsledky do 24 hod. od doručení.

K 1.1. 2026 dojde k aktualizaci ceníku vyšetření. Nový ceník bude včas zveřejněn na našich webových stránkách. 

Vážení kolegové, z důvodu dlouhodobé zahraniční stáže od 1.8.2025 do odvolání neprovádíme pitvy. Děkujeme za pochopení. 

Vzhledem k výraznému nárustu počtu vzorků v posledních měsících nepřijímáme od 1.2.25 do odvolání nové klinety, neboť bychom rádi dodrželi přiměřené čekací doby na výsledky vyšetření (2-5 dní). Děkujeme za pochopení. 

S radostí oznamujeme, že se k týmu Novopath připojily tři velmi zkušené certifikované patoložky dr. Melanie Dobromylskyj, dr. Chiara Palmieri a dr. Sai Fingerhood. Více se o nových kolegyních dozvíte v sekci "náš tým".

Rádi bychom vás informovali, že jsme dne 12.12.2023 s okamžitou platností ukončili veškeré profesní i osobní vztahy s MVDr. Teplou, MVDr. Humpovou a MVDr. Dvořákovou. Veškerá vyšetření pro Novopath bude nadále provádět doc. Novotný a i do budoucna od nás budete dostávat nálezy pouze od certifikovaných patologů (DACVP, DECVP, FRCPath), což zajistí nejvyšší možnou kvalitu našich nálezů. V případě, že bude nález vystaven zahraničím patologem, obdržíte automaticky kompletní překlad nálezu do českého jazyka. Pokud si nepřejete dostávat nálezy v anglickém jazyce, informujte o této skutečnosti vedoucího laboratoře (novopath@seznam.cz) či toto uveďtě na žádanku. 

 

NABÍZÍME PŘEDNOSTNÍ VYŠETŘENÍ VZORKŮ:

PRIORITY - vzorek bude laboratoří zpracován ve standardním čase, tj. 2-3 pracovní dny a bude odečten přednostně před všemi ostatními vzorky ihned po vyhotovení preparátů. 

STATIM - vzorek bude laboratoří zpravován ve zkráceném režimu a odečten ihned po vyhotovení preparátů. Výsledky budou do druhého pracovního dne od doručení.

Příplatek za režim PRIORITY a STATIM je 500-1500 Kč + DPH. 

Nebude-li možné z personálních nebo technologických důvodů dodržet podmínky přednostních vyšetření z naší strany, bude vzorek i tak odečten přednostně v co nejkratším možném čase, ale nebudou účtovány žádné příplatky. Statimové případy doručené do laboratoře v pátek budu vyřízeny v pondělí. 

V případě zájmu o přednostní vyšetření napište na žádanku heslo "PRIORITY" nebo "STATIM" a kontaktujte nás prosím telefonicky nebo e-mailem, že zasíláte vzorek ve zrychleném režimu. 

Nezapomeňte prosím, že nejvíce času se dá ušetřit na dopravě. U přednostních vzorků je vhodné využít kurýrní služby s garantovaným doručením do druhého dne. Nedoporučujeme zasílat akutní případy s distributory léčiv. 

Poslední dobou dochází k velkým prodlevám při doručování vzorků do naší laboratoře. Vzorky jsou na cestě běžně 7-10 dní při zasílání poštou bez využití služby D+1, ale často také s distributory léčiv. Některé vzorky jsou doručeny do jiné laboratoře a poté k nám přeposílány. Máte-li akutního pacienta, využijte raději kurýrní služby s garantovaným doručením do druhého dne - urychlení dopravy je nejlepší způsob, jak zkrátit čekací dobu na výsledek.

-

KONSENSUS - V rámci zkvalitnění služeb nabízíme KONSENSUS, kdy se k případu vyjádří minimálně tři další certifikovaní patologové, včetně zahraničních konzultantů mimo Novopath s.r.o. Konsensus je v případě oprávněné žádosti zdarma (nejasné či sporné případy). Oprávněnost žádosti o konsensus posuzuje vedoucí laboratoře. Na vaši žádost je možné vypracovat zpoplatněný konsensus na jakýkoliv případ, včetně případů z jiných laboratoří. 

-

PROVOZNÍ INFORMACE:

K zasílání vzorků je možno využít bezplatného svozu s distributory veterinárních léčiv Samohýl a Noviko (podmínky přepravy a další náležitosti je nutné domluvit přímo s distributory). V případě využití služeb České pošty doporučujeme zvolit službu D+1, aby nedocházelo ke zbytečné prodlevě při doručení. Vzorky je možné dovézt také osobně do Čeperky po předchozí domluvě.

Obvyklá čekací doba na výsledky histologických vyšetření je 2-5 pracovních dní od doručení vzorku do laboratoře (v případě kostních bioptátů, prstů atd. je potřeba počítat s délkou vyšetření úměrně delší - v závislosti na stupni mineralizace může dekalcifikace tkání před histologickým zpracováním trvat i několik týdnů). Výsledky cytologických vyšetření obvykle odesíláme do 24 hodin od doručení. Neobdržíte-li výsledek vyšetření v očekávané lhůtě, dejte nám prosím vědět. V případě požadavků na přednostní vyšetření nás prosím kontaktujte, bude-li to možné, vyjdeme vám vstříc.

Na vyžádání je možno vystavit nález také v angličtině (bez poplatku) – tento požadavek je však nutné uvést na žádanku předem. Dodatečné překlady již vystavených nálezů jsou zpoplatněny.

Veškeré provozní požadavky (speciální vyšetření, dotazy na cenu, storna atd.) prosím směřujte na e-mail novopath@seznam.cz, kde je obratem vyřídí zaměstnanci laboratoře. Preferujeme kontakt přes e-mail. Na e-mail jsou také zasílány veškeré výsledky vyšetření, provozní oznámení a faktury. V případě potřeby odborné konzultace (např. technika odběru vzorků, konzultace výsledků vyšetření) můžete využít také telefonního čísla 725 485 828 (od 9,00 hod.).

Faktury jsou vystavovány jednou měsíčně, souhrnně za předchozí měsíc, a zasílány na e-mail. Faktury v tištěné podobě nezasíláme. 

Ceníky se obvykle aktualizují k novému roku. Ceník vám také zašleme na vyžádání e-mailem. O cenách vyšetření se také můžete informovat předem na výše uvedeném telefonním čísle. 

Ceník platný od 1.1.2026:
 
Ceny navrhovaných speciálních vyšetření a imunohistologie jsou vždy předem uvedeny v průvodním e-mailu s nálezem. 
CENÍK 2026
Adresa
Vrchlického 230, 533 45 Čeperka
Telefon
+420 725 485 828